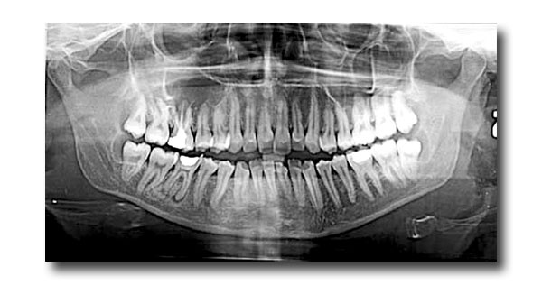
Panoramiche

La Radiografia Panoramica Dentale è un esame a scopo diagnostico delle due arcate dentali complete e del distretto maxillo-facciale.

Viene effettuata per avere una visione globale dello stato dei denti, dell’osso mandibolare e mascellare, delle articolazioni e dei tessuti gengivali.

Si utilizza un Ortopantomografo che permette di impressionare un sensore digitale posizionato specularmente alla sorgente che ruota intorno alla testa del paziente. Il Paziente viene invitato a mordere l’apposito bite  e a posizionare la lingua rilassata e piatta contro il palato alto.

Durante l’acquisizione si visualizzano in tempo reale le immagini a monitor e le caratteristiche evolute della sorgente dei raggi consentono di ottenere immagini ad elevato valore diagnostico e con una dose di radiazioni al paziente inferiore rispetto alla tecnica con pellicola tradizionale.

Questo esame consente di visualizzare con una sola esposizione tutte le zone oggetto del quesito diagnostico, offrendo all’odontoiatra una visuale completa dell’anatomia del paziente.L'apparecchiatura a nostra disposizione consente di acquisire anche solo una parte delle strutture mascellari, riducendo se il caso, la dose radiogena, quando è necessario indagare solo una parte delle strutture stesse.